LAVA -12頭蓋内動脈瘤液塞栓系
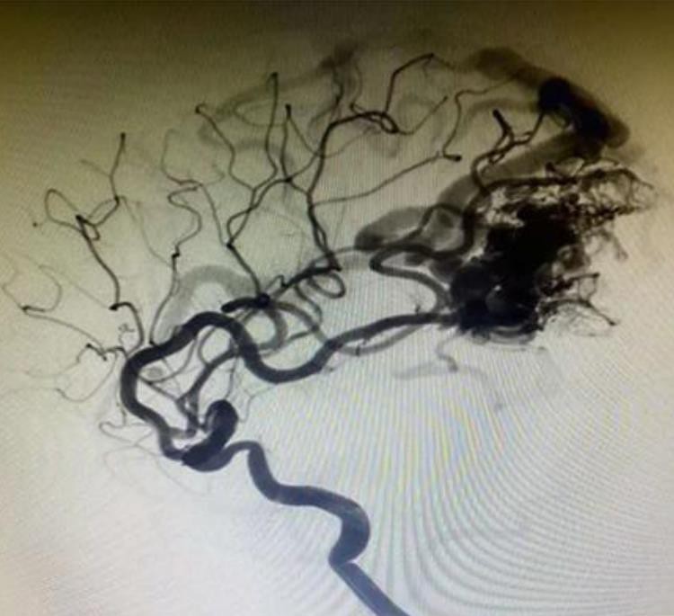
溶岩の場合TM頭蓋内動脈瘤液体塞栓系は、血液または水溶液と接触しています。その表面はすぐに固化し、保護膜を形成します。塞栓剤のDMSOは希釈され、血液中に拡散しているため、Evohで包まれたタンタル粉末は沈殿し、外側から内側に固化します。同時に、溶岩は注入圧力の下で遠くまで拡散します。最後に、塞栓位置にスポンジ状の塞栓体を形成します。

溶岩TM動脈瘤塞栓術システムは非接着材料で作られているため、より安全で、カテーテルを非焦げています。
これは、完全な範囲のモデルLAVA -12、溶岩-18、および溶岩-34を備えた一意の低粘度式です。
より良い分散と浸透があります。そして、それは病変に深く浸透し、遠位血管に到達することができます。
タンタルパウダーはより細かく、ゆっくりと沈殿し、競合他社と比較してより明確にX線撮影です。

メモ頭蓋内動脈瘤液塞栓系
●溶岩液体塞栓剤が固化するかどうかを観察します。もしそうなら、まず解凍する必要があります。
●バイブレーターに溶岩液体塞栓剤を置きます。
●バイブレーターを高レベルに調整します。
●揺れで20分以上
●使用されるまで。
|
製品コード |
粘度 |
説明 |
|
溶岩-12 |
12 CST |
遠位微細vessの粘度、より多くの液体、より多くの液体。 |
|
溶岩-18 |
18 CST |
標準式、一般的な使用; |
|
溶岩-34 |
34 CST |
高流量容器の粘度が高い。 |











