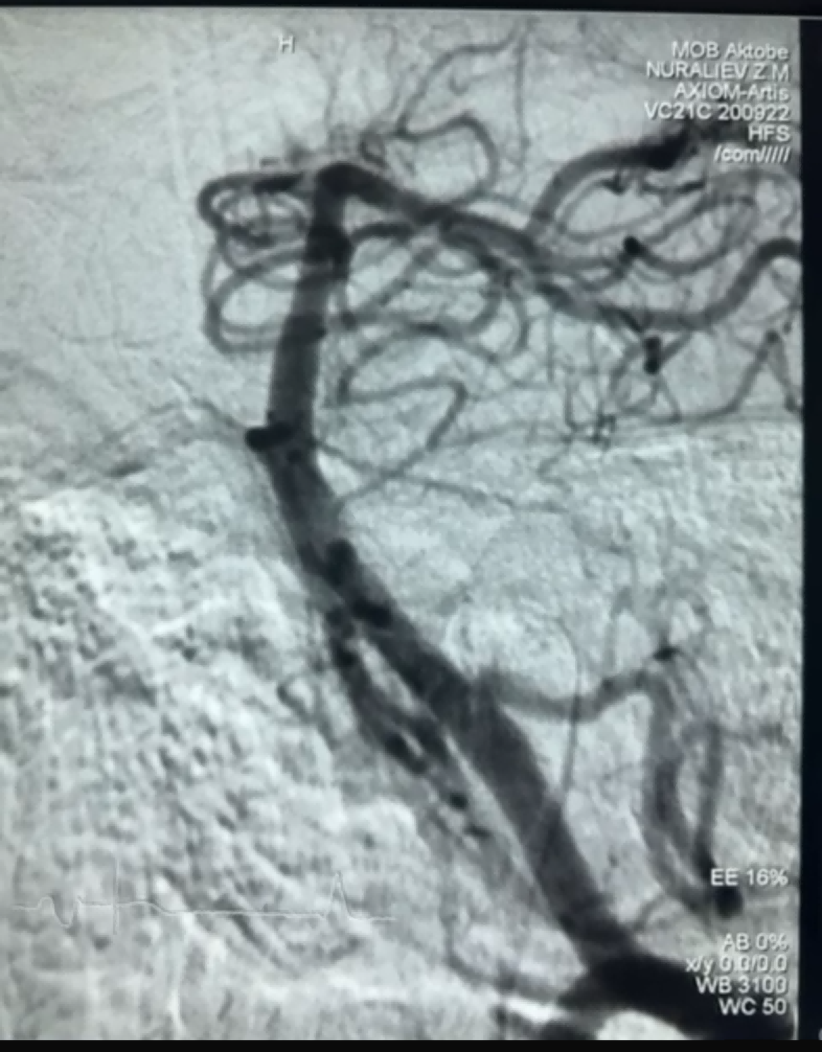
最近、ニューロセーフメディカル社のドレッジャーステントリトリーバーを使用した血栓除去術が成功した症例がありました。ドレッジャーステントリトリーバーは非侵襲性の柔らかい先端部を備えており、内膜損傷のリスクを大幅に軽減し、主に隙間の変化を挟んで血栓を捕捉する独自の特殊形状の穴設計を備えています。

Aug 09, 2024 伝言を残す
最近、ニューロセーフメディカル社のドレッジャーステントリトリーバーを使用した血栓除去術が成功した症例がありました。ドレッジャーステントリトリーバーは非侵襲性の柔らかい先端部を備えており、内膜損傷のリスクを大幅に軽減し、主に隙間の変化を挟んで血栓を捕捉する独自の特殊形状の穴設計を備えています。

お問い合わせを送る